Đau răng khôn đã là một nỗi ám ảnh với nhiều người. Tuy nhiên, khi răng khôn bị sâu nó sẽ khiến bạn khó chịu hơn rất nhiều. Trong bài viết này, Nha Khoa Vietcare sẽ chia sẻ đến bạn các thông tin chi tiết về tình trạng này. Từ đó đưa ra cho bạn những phương pháp tốt nhất xử lý tình huống này nhé.
1. Dấu hiệu nhận biết khi răng khôn bị sâu mà bạn nên biết.

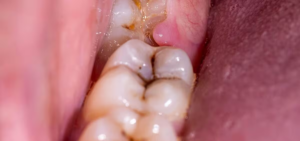
Nhận biết sớm các dấu hiệu của răng khôn bị sâu sẽ giúp bạn phát hiện kịp thời. Từ đó có thể xử lý vấn đề một cách nhanh chóng. Cùng tham khảo một số dấu hiệu dưới đây nhé:
- Cơn đau nhức do răng khôn bị sâu thường bắt đầu sẽ nhẹ nhàng. Và trở nên dữ dội theo thời gian. Đặc biệt là khi ăn nhai hoặc tiếp xúc trực tiếp với thức ăn nóng lạnh.
- Khi gặp phải tình trạng này, răng của bạn cũng sẽ trở nên nhạy cảm hơn. Đặc biệt là nó sẽ khiến bạn cảm thấy vô cùng ê buốt khi tiếp xúc với nhiệt độ.
- Răng khôn có thể chuyển sang màu nâu, đen. Hoặc nó sẽ có đốm trắng. Đây chính là dấu hiệu của sự mất khoáng hóa. Dần dần nó sẽ thành sâu răng.
- Sâu răng khôn sẽ khiến hơi thở của bạn trở nên khó chịu. Do vi khuẩn tích tụ và nằm ở vị trí khó vệ sinh.
- Đôi khi bạn có thể cảm nhận được một lỗ nhỏ hoặc bề mặt gồ ghề trên răng khôn. Nếu răng của bạn bị sâu nhé.
- Bạn có thể cảm thấy khó khăn hoặc đau đớn khi ăn nhai thức ăn. Đặc biệt là các loại thực phẩm cứng.
2. Nguyên nhân dẫn đến tình trạng sâu răng
2.1 Răng khôn bị sâu do mọc không đúng vị trí

Răng khôn thường mọc sau cùng trên hàm. Do đó trên cung hàm sẽ không còn quá nhiều chỗ cho chiếc răng này phát triển bình thường. Điều này có thể dẫn đến:
- Răng không có thể mọc nghiêng hoặc ngang. Từ đó tạo ra các khoảng trống khiến việc vệ sinh răng trở nên khó khăn. Lâu ngày sẽ hình thành các vết sâu răng.
- Khi răng khôn chỉ có thể mọc lên một phần. Phần còn lại bị che phủ bởi nước sẽ tạo điều kiện cho vi khuẩn phát triển một cách nhanh chóng.
- Bên cạnh đó, các trường hợp răng khôn mọc lên chen chúc, xô lệch cũng là một vấn đề khó khi vệ sinh răng. Dần dần sẽ hình thành sâu răng.
2.2 Răng khôn bị sâu do vệ sinh răng miệng không đúng cách
Vệ sinh răng miệng không đúng cách chính là một nguyên nhân phổ biến nhất dẫn đến tình trạng sâu răng khôn:
- Trước hết, do nằm ở vị trí khó tiếp cận. Nên việc đánh răng và làm sạch sẽ trở nên khó khăn hơn bình thường.
- Nhiều người bỏ qua việc vệ sinh răng miệng kỹ lưỡng. Đặc biệt là thường hay quên vùng răng khôn ở sâu phía trong. Mang đến cảm mất thời gian và khó thực hiện.
- Bên cạnh đó, việc sử dụng bàn chải không đúng cách. Chất lông chải không phù hợp cũng có thể là nguyên nhân dẫn tình trạng răng bị tổn hại và bị sâu răng.
2.3 Răng khôn bị sâu do hình dạng của răng

Hình dạng đặc biệt của răng khôn cũng góp phần làm tăng nguy cơ sâu răng:
- Răng khôn thường có bề mặt nhai không bằng phẳng, với nhiều rãnh và hốc nhỏ, tạo điều kiện cho thức ăn và vi khuẩn tích tụ.
- Đôi khi, men răng của răng khôn có thể không phát triển hoàn thiện. Khiến răng dễ bị tổn thương hơn trước acid và vi khuẩn.
- Răng khôn có thể nhỏ hơn hoặc có hình dạng bất thường. Từ đó tạo ra các khe hở khó làm sạch.
3. Răng khôn bị sâu gây ra ảnh hưởng thế nào?

Sâu răng khôn không chỉ gây ra những khó chịu tức thời mà còn có thể dẫn đến nhiều vấn đề sức khỏe nghiêm trọng nếu không được điều trị kịp thời:
- Cơn đau có thể trở nên dữ dội và ảnh hưởng đến cuộc sống hàng ngày. Nó sẽ gây khó khăn trong ăn uống và nói chuyện. Khiến cuộc sống sinh hoạt của bạn bị đảo lộn nghiêm trọng.
- Sâu răng tạo điều kiện cho vi khuẩn xâm nhập sâu vào trong răng. Từ có thể dẫn đến viêm tủy răng hoặc áp xe. Đồng thời, vi khuẩn gây sâu răng có thể lan sang các răng lân cận. Dẫn tới tình trạng sâu răng lan rộng.
- Trong trường hợp nghiêm trọng, nhiễm trùng từ răng khôn bị sâu có thể lan đến xương hàm. Khiến các vấn đề nghiêm trọng hơn. làm sức khỏe răng miệng của bạn bị giảm nghiêm trọng.
4. Một số phương pháp điều trị răng khôn bị sâu hiệu quả
4.1 Trám răng

Trám răng là phương pháp phổ biến và hiệu quả để điều trị sâu răng khôn ở giai đoạn đầu. Với phương pháp này, bác sĩ sẽ loại bỏ phần răng bị sâu, làm sạch khu vực bị ảnh hưởng. Và sau đó trám lại bằng các vật liệu như composite hoặc amalgam. Để có thể bảo vệ cũng như bảo tồn răng thật của bạn. Đồng thời giúp ngăn ngừa sâu răng trở lại.
4.2 Điều trị nội nha
Khi sâu răng đã lấn sâu vào tủy răng. Thì điều trị nội nha (hay còn gọi là lấy tủy răng) là một việc vô cùng cần thiết. Đến với Vietcare, các bác sĩ chuyên khoa sẽ loại bỏ phần tủy răng bị nhiễm trùng. Tiếp đó là làm sạch và khử trùng ống tủy. Sau đó trám kín để ngăn ngừa nhiễm trùng tái phát. Phương pháp này, sẽ giúp bạn giữ được răng tự nhiên, loại bỏ đau đớn do viêm tủy. Và ngăn chặn sự lan rộng của nhiễm trùng.
4.3 Nhổ răng khôn

Trong một số trường hợp, nhổ răng khôn có thể là giải pháp tốt nhất. Khi răng khôn bị sâu nặng, không thể phục hồi. Hoặc nó gây ra các vấn đề nghiêm trọng cho răng và nướu xung quanh. Lúc này, bác sĩ sẽ đề xuất bạn nên nhổ răng. Bạn sẽ được sử dụng gây tê cục bộ hoặc gây mê toàn thân tùy trường hợp. Nên không cần quá lo lắng nhé.
Tổng kết
Vậy là, Nha Khoa Vietcare đã giúp bạn có cái nhìn khái quát hơn về vấn đề răng khôn bị sâu. Hy vọng rằng, qua bài viết, bạn sẽ có thể nhận biết nhanh chóng tình trạng sức khỏe răng miệng của mình. Từ đó có những phương pháp điều trị thích hợp và sớm nhất. Để có thể tránh khỏi những hệ lụy không đáng nhé. Nếu còn bất kỳ thắc mắc nào bạn có thể để lại comment. Hoặc có thể liên hệ trực tiếp với Vietcare để được tư vấn kỹ lưỡng hơn nhé.